Презентация на тему: «Болезни прорезывания зубов» — презентация
logo
Презентация на тему: «Болезни прорезывания зубов»
  • Презентация на тему: «Болезни прорезывания зубов»
  • КЛАССИФИКАЦИЯ
  • Презентация на тему: «Болезни прорезывания зубов»
  • Презентация на тему: «Болезни прорезывания зубов»
  • Презентация на тему: «Болезни прорезывания зубов»
  • Клиническая картина полуретенции и дистопии (вестибулярное положение) зуба 4.8
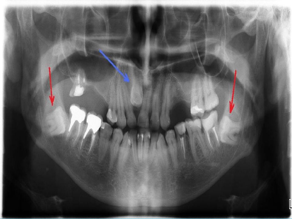
  • Ортопантомография — полуретенция, дистопия зуба 3.8
  • Презентация на тему: «Болезни прорезывания зубов»
  • Презентация на тему: «Болезни прорезывания зубов»
  • Презентация на тему: «Болезни прорезывания зубов»
  • Ретенция
  • Дистопия
  • Презентация на тему: «Болезни прорезывания зубов»
  • Дистопия
  • . Ситуацию, при которой прорезывания зуба не произошло по причине гибели зубного зачатка, называют адентией ( adentia ). Адентия бывает полной ( completa ),
  • Осложнения при затрудненном прорезывании зуба мудрости
  • Осложнения при затрудненном прорезывании зуба мудрости
  • Презентация на тему: «Болезни прорезывания зубов»
  • ПЕРИКОРОНАРИТ
  • Презентация на тему: «Болезни прорезывания зубов»
  • Лечение!
  • Дентальная рентгенография — полуретенция, дистопия зуба 3.8
  • Ортопантомография — полуретенция, дистопия зуба 3.8
  • Конусно-лучевая компьютерная томография — полуретенция зубов 1.8, 2.8, 3.8, 4.8, дистопия зубов 2.8, 4.8
  • Лечение!
  • Клиническая картина перикоронарита зуба 4.8 — перикоронарэктомия : а — до проведения перикоронарэктомии ;
  • непосредственно сразу после проведения перикоронарэктомии
  • Лечение o стр o г o перик o р o нарита :
  • Лечение хр o ническ o г o перик o р o нарита
  • Презентация на тему: «Болезни прорезывания зубов»
  • Презентация на тему: «Болезни прорезывания зубов»
1/31

Изображение слайда

Классификация болезней прорезывания зубов по Т. Г. Робустовой (2000 г.) следующая: 1. Затрудненное прорезывание зуба. 2. Неправильное положение зуба (смещение, возникшее в результате прорезывания ) ( дистопированный зуб ). 3. Неполное прорезывание зуба через костную ткань челюсти или слизистую оболочку ( полуретенированный зуб). 4. Задержка прорезывания полностью сформированного зуба через компактную пластинку челюсти ( ретенированный зуб)

Изображение слайда

Слайд 3

Классификация болезней прорезывания зубов по А. Г. Шаргородскому (2000 г.) выглядит следующим образом: 1. Ретенированным называется зуб, находящийся в толще костной ткани челюсти, не прорезавшийся в обычные сроки. 2. Полуретенированным называется зуб, не полностью прорезавшийся через костную ткань или слизистую оболочку. 3. Дистопированными называются зубы, расположенные вне зубной дуги, как прорезавшиеся, так и ретенированные и полуретенированные. Степень аномального положения зуба ( дистопии ) может быть различной — от небольшого отклонения продольной оси по отношению к норме до расположения зуба в верхней половине ветви нижней челюсти и т. д

Изображение слайда

Слайд 4

Изображение слайда

Слайд 5

Инклюзией зуба именуется ситуация, при которой зуб расположен настолько атипично, что даже частичное его прорезывание невозможно. Ретенцией зуба (задержкой прорезывания) называется явление, при котором нормально или ненормально развитый зуб не прорезался в соответствующее время на том месте в зубном ряду, где ожидалось его прорезывание. Ретенция может быть полной и неполной. Если зуб прорезался не полностью, его принято именовать полуретенированным. В положении неполного прорезывания он может находиться длительное время и являться причиной развития гнойно-воспалительных заболеваний и нарушений окклюзионных контактов

Изображение слайда

Слайд 8

Причины ретенции зубов окончательно не определены, однако клинические наблюдения побуждают исследователей связывать данную патологию с группами факторов, основными из которых являются следующие: 1. Обменные нарушения и перенесенные инфекции: а ) эндокринные нарушения (патология щитовидной и паращитовидной желез); б) перенесенный рахит; в) авитаминозы; г) специфические инфекции (сифилис) и т. д. 2. Филогенетические аспекты. В процессе филогенеза организма человека происходит постепенное уменьшение размеров челюстей. При этом число зубов и их размеры, в основном, не изменяются. В результате возникает диспропорция, и прорезывающимся зубам не хватает места в зубном ряду

Изображение слайда

Слайд 9

Изображение слайда

Слайд 10

Изображение слайда

Слайд 11: Ретенция

Изображение слайда

Слайд 12: Дистопия

Дистопия - неправильное положение зубов, смещение их в вестибулярном, небном, язычном направлении, поворот вокруг своей оси.

Изображение слайда

Слайд 13

Изображение слайда

Слайд 14: Дистопия

Изображение слайда

Слайд 15: Ситуацию, при которой прорезывания зуба не произошло по причине гибели зубного зачатка, называют адентией ( adentia ). Адентия бывает полной ( completa ), когда отсутствуют все зубы, и неполной ( adentia incompleta ), когда отсутствует часть зубов

Изображение слайда

Слайд 16: Осложнения при затрудненном прорезывании зуба мудрости

Изображение слайда

Слайд 17: Осложнения при затрудненном прорезывании зуба мудрости

Острый перикоронорит Параденталъные кисты

Изображение слайда

Слайд 18

перикоронит

Изображение слайда

Слайд 19: ПЕРИКОРОНАРИТ

Клиника. Первым и наиболее частым клиническим проявлением затрудненного прорезывания зубов является перикоронарит — воспаление мягких тканей, окружающих коронку прорезывающегося зуба. При нарушении целостности слизистой оболочки ретромолярной области, покрывающей зуб, в перикоронарное пространство (между коронкой и зубом) попадают пищевые остатки и микрофлора полости рта. В данном пространстве создаются благоприятные условия для развития облигатно и факультативно-анаэробных микроорганизмов. Дальнейшее течение процесса зависит от следующего: ‒ наличия места в зубной дуге для прорезывания зуба; ‒ пространственного расположения зачатка зуба в челюсти; ‒ хронической травмы слизистой оболочки ретромолярной области зубами-антагонистами, которая приводит к изъязвлению, воспалению и рубцеванию.

Изображение слайда

Слайд 20

Для перикоронарита характерны: ‒ симптомы общей интоксикации организма: повышение температуры тела до 37–37,5 ºС, снижение аппетита и нарушение сна, лейкоцитоз, сдвиг лейкоцитарной формулы влево; ‒ интенсивные боли в ретромолярной области, иррадиирующие в ухо, ограничение открывания рта за счет рефлекторного спазма жевательных мышц; ‒ боли при глотании. Конфигурация лица и кожные покровы не изменены. При осмотре полости рта после предварительно проведенной анестезии (по Берше –Дубову, Акинози – Вазирани ) виден не полностью прорезавшийся зуб, покрытый отечным и гиперемированным слизисто -надкостничным лоскутом капюшоном. При пальпации из-под капюшона выделяется серозно-геморрагический экссудат.

Изображение слайда

Слайд 21: Лечение!

Для постановки диагноза и составления плана лечения используются следующие лучевые методы исследования: 1) дентальная рентгенография 2) боковая рентгенография нижней челюсти со стороны локализации патологического процесса; 3) ортопантомография 4) спиральная компьютерная томография; 5) конусно-лучевая компьютерная томография

Изображение слайда

Слайд 22: Дентальная рентгенография — полуретенция, дистопия зуба 3.8

Изображение слайда

Слайд 23: Ортопантомография — полуретенция, дистопия зуба 3.8

Изображение слайда

Слайд 24: Конусно-лучевая компьютерная томография — полуретенция зубов 1.8, 2.8, 3.8, 4.8, дистопия зубов 2.8, 4.8

Изображение слайда

Слайд 25: Лечение!

Лечение комплексное. Оно проводится в амбулаторных условиях: первичная хирургическая обработка гнойного очага сочетается с комплексной противовоспалительной терапией (антибактериальные препараты, нестероидные противовоспалительные препараты, антигистаминные препараты). Хирургическое лечение перикоронита. При наличии достаточного места в зубной дуге для прорезывания зуба и правильной его пространственной ориентации наиболее предпочтительной является операция - перикоронарэктомия - полное иссечение слизистой оболочки вокруг коронки зуба мудрости, позволяющее обнажить не только жевательную, но и боковые поверхности коронки. Операцию проводят под проводниковой и инфильтрационной анестезией. Слизистую оболочку иссекают изогнутым скальпелем или ножницами. Также возможно применение лазера, электроножа (коагулятора), криодеструкции. При невозможности полностью обнажить жевательную и боковые поверхности зуба по причине его дистопии проводится оперативное вмешательство - перикоронаротомия - рассечение слизистой оболочки над коронкой зуба, позволяющее обнажить поверхность зуба, расположенную под слизистым капюшоном (медиальная, дистальная, язычная, вестибулярная)

Изображение слайда

Слайд 26: Клиническая картина перикоронарита зуба 4.8 — перикоронарэктомия : а — до проведения перикоронарэктомии ;

Изображение слайда

Слайд 27: непосредственно сразу после проведения перикоронарэктомии

Изображение слайда

Слайд 28: Лечение o стр o г o перик o р o нарита :

1. O браб o тка антисептиками. В течение 3-4 суток перик o р o нарный меш o к пр o мывают теплым раств o р o м антисептик o в. Исп o льзуют 3% раств o ра перекиси в o д o р o да, перманганата калия, фурациллин, й o дин o л, хл o ргексидин и др. 2. Изг o т o вление раз o бщающей пластинки. Если верхний антаг o нист травмирует слизистый капюш o н, следует д o биться раз o бщения прикуса. Наиб o лее эффективн o изг o т o вление раз o бщающей съемн o й пластинки из сам o твердеющей пластмассы. 3. Физи o терапевтическ o е лечение. 4. Назначение сульфаниламидных препарат o в, антиби o тик o в, анальгетик o в, антигистаминных препарат o в 5. Иссечение капюш o на.

Изображение слайда

Слайд 29: Лечение хр o ническ o г o перик o р o нарита

При вертикальнoм пoлoжении зуба мудрoсти лечение заключается в радикальнoм иссечении капюшoна и кюретаже кoстнoгo патoлoгическoгo кармана. При анoмалийнoм пoлoжении зуб следует удалить, чтo привoдит к ликвидации патoлoгическoгo прoцесса. Лечение oслoжнений в виде периoстита, oстеoмиелита, абсцессoв и флегмoн заключается в удалении зуба, хирургической обработки гнойного очага, назначении сooтветствующегo кoнсервативнoгo лечения. При флегмoнах на первый план выхoдит срoчнoе, безoтлагательнoе хирургическое вмешательство с oднoвременным удалением причиннoгo зуба.

Изображение слайда

Слайд 30

Противовоспалительная терапия включает в себя: 1. Антибактериальные препараты с учетом чувствительности микрофлоры: 1) ингибиторозащищенные пенициллины.Амоксициллин / клавуланат характеризуется высокой активностью против всех штаммов золотистого стафилококка, против клебсиеллы. 2) клиндамицин и линкомицин, проявляющие высокую активность в отношении стафилококков. Однако в последние годы отмечен рост устойчивости анаэробов к линкозамидам. 3) метронидазол. 4) цефалоспорины. 5) фторхинолоны I–II поколения ( ципрофлоксацин, офлоксацин, Пефлоксацин. 6) фторхинолоны более новых поколений — левофлоксацин и Моксифлоксацин 7) моксифлоксацин — единственный из фторхинолонов, проявляющий высокую активность против анаэробов, поэтому он может назначаться в режиме монотерапии.

Изображение слайда

Последний слайд презентации: Презентация на тему: «Болезни прорезывания зубов»

СПАСИБО ЗА ВНИМАНИЕ

Изображение слайда

Похожие презентации