ПОДАГРА — презентация
logo
ПОДАГРА
  • ПОДАГРА
  • МЕТАБОЛИЧЕСКИЕ АРТРИТЫ
  • Определение
  • ПОДАГРА
  • ПОДАГРА
  • ПОДАГРА
  • ПОДАГРА
  • ПОДАГРА
  • ПОДАГРА
  • ПОДАГРА
  • ПОДАГРА
  • Патогенез
  • ПОДАГРА
  • Клиника
  • ПОДАГРА
  • ПОДАГРА
  • ПОДАГРА
  • ПОДАГРА
  • ПОДАГРА
  • ПОДАГРА
  • ПОДАГРА
  • ПОДАГРА
  • ПОДАГРА
  • ПОДАГРА
  • ПОДАГРА
  • ПОДАГРА
  • ПОДАГРА
  • ПОДАГРА
  • Диагностика
  • ПОДАГРА
1/30

Первый слайд презентации: ПОДАГРА

Медицинский институт Кафедра пропедевтической и факультетской терапии с курсом эндокринологии и ЛФК

Изображение слайда

Слайд 2: МЕТАБОЛИЧЕСКИЕ АРТРИТЫ

Это воспалительные заболевания суставов, обусловленные: 1.выпадением кристаллов в синовиальную жидкость: подагра пирофосфатная артропатия ( хондрокальциноз ) гидроксиапатитная артропатия ( псевдоподагра ) 2. отложение пигментов в суставном хряще: алкаптонурия ( охронотическая артропатия ) артропатия при гемохроматозе МЕТАБОЛИЧЕСКИЕ АРТРИТЫ

Изображение слайда

Слайд 3: Определение

Подагра – хроническое метаболическое заболевание, обусловленное нарушением пуринового обмена и повышением в крови уровня мочевой кислоты с последующим отложением микрокристаллов её натриевой соли ( уратов ) в различных тканях, что проявляется рецидивами острого артрита и образованием подагрических узлов ( тофусов ) и поражением различных внутренних органов. Современное определение подагры: системное тофусное заболевание, развивающееся в связи с воспалением в месте отложения кристаллов моноурата натрия у людей с гиперурикемией, обусловленное внешнесредовым или генетическим воздействием (В.А. Насонова, 2003). Определение

Изображение слайда

Слайд 4

Здоровый сустав Начальные изменения Выраженные изменения Конечная стадия

Изображение слайда

Слайд 5

Заболеваемость подагрой в различных регионах составляет от 0,1 – 3,5%, а у мужчин в возрасте 55 – 65 лет 4 – 6%. В отдельных этнических группах (Филиппины, Н. Зеландия, Микронезия) частота может доходить до 10%. Существует выраженный половой диморфизм: подагрой страдают, в основном, мужчины старше 40 лет. М : Ж – 2-7 : 1. Отмечается также наследственная предрасположенность – 27 – 80%. Среди больных вторичной подагрой число женщин увеличивается до 20% в связи с большей частотой применения тиазидных диуретиков.

Изображение слайда

Слайд 6

Актуальность заболевания обусловлена увеличением числа случаев заболевания в 2 раза за последние годы, сдвиг в более молодой возраст, поздней диагностикой, возможностью атипичного течения (бурситы, синовииты ), часто сочетается с другой патологией: АГ – в 90%, ИБС – 20%, СД – 7%, Метаболический синдром – 50-60%, Увеличение веса – 93%, Ожирение – 58%, Патология почек – 57%, в т.ч. наклонность к камнеобразованию.

Изображение слайда

Слайд 7

Особенности течения подагры у женщин: чаще развивается эндокринная патология (в постменопаузе вес увеличивается на 10 – 12 кг); чаще отмечается атипичное течение; быстрее развивается ХПН.

Изображение слайда

Слайд 8

Мочевая кислота является конечным продуктом обмена пуринов, поступающих с пищей и образующихся эндогенно в процессе обмена нуклеотидов, т.е. она бывает экзогенной и эндогенной. 65 – 75%. МК выводится с мочой. Количество МК определяется скоростью образования и скоростью её выведения. Тофусы могут образовываться в разных органах и тканях.

Изображение слайда

Слайд 9

Критерии гиперурикемии : не более 0,416 ммоль /л для мужчин и не более 0, 360 ммоль /л для женщин. Понятия “гиперурикемия” и “подагра” не тождественны. Частота гиперурикемии составляет 4 – 12% в популяции. Виды гиперурикемии : 1) М етаболическая ( избыточное образование уратов, синдром Леша-Найхана, Келли-Зигмиллера ): лимфо - и миелопролиферативные заболевания; псориаз; физическая нагрузка; алкоголь; ожирение; пища с высоким уровнем пуринов.

Изображение слайда

Слайд 10

2) Почечная (недостаточное выведение их почками); ХПН, поликистоз ; АГ; несахарный диабет; ацидозы (голодание, диабетический кетоацидоз ); гиперпаратиреоз ; гипотиреоз.

Изображение слайда

Слайд 11

3) С мешанный тип шок; злоупотребление алкоголем ( причина: стимуляция распада АТФ и усиление образования МК в печени; нарушение секреции МК за счёт развития ацидоза; повышение пуринов в напитках (пиво) ).

Изображение слайда

Слайд 12: Патогенез

Внешние факторы в совокупности с наследственностью → гиперурикемия → кристаллы урата натрия → воспаление. Первичная подагра носит наследственный характер и связана с генетическим дефектом в системе ферментов, регулирующих обмен пуринов – 90 – 95%. Патогенез

Изображение слайда

Слайд 13

Её усугубляют ряд алиментарных факторов: злоупотребление жирной пищей и алкоголем (особенно пиво и красное вено), печень, почки, язык, жареное мясо, шпроты, сардины, мясные бульоны. Вторичная подагра: почечная недостаточность, СД, псориаз, миеломная болезнь, полицитемия, гемолитические анемии, злоупотребление тиазидовыми диуретиками.

Изображение слайда

Слайд 14: Клиника

Название болезни – “подагра”- “капкан для ноги” ( podos - нога, agro - капкан). Стадии подагры: бессимптомная гиперурикемия; острый артрит; межприступный период (с течением времени укорачивается); хроническая тофусная подагра. Клиника

Изображение слайда

Слайд 15

Суставной синдром, начинается как суставной криз (подагрическая атака). В 70% случаев поражается I-й плюснефаланговый сустав, т.е. развивается острый моноартрит. В 20% случаев дебют с поражением II – IV плюсне-фаланговых суставов, ГС, КС и, очень редко, суставов рук.

Изображение слайда

Слайд 16

Здоровый сустав Начальные изменения Выраженные изменения Конечная стадия

Изображение слайда

Слайд 17

Здоровый сустав Начальные изменения Выраженные изменения Конечная стадия

Изображение слайда

Слайд 18

Здоровый сустав Начальные изменения Выраженные изменения Конечная стадия

Изображение слайда

Слайд 19

Приступ развивается либо спонтанно, либо под давлением провоцирующих факторов: одномоментное употребление большого количества мяса или жира, алкогольный эксцесс, травмы и операции, переохлаждение, физическая нагрузка, длительная ходьба, нервный стресс (в т.ч. переедание, похудание, голодание), ношение тесной обуви, приём лекарственных препаратов, в т.ч. диуретиков. Если у пациента уже было несколько приступов, то возможен продром суставной атаки: дискомфорт, раздражительность, подавленность и т.д.

Изображение слайда

Слайд 20

Клиника классического подагрического артрита внезапное начало, особенно ночью; чрезвычайно высокая интенсивность болей; быстрое нарастание местных симптомов воспаления, достигающих максимума через несколько часов; яркая гиперемия кожи над поражённым суставом, иногда с цианотичным оттенком (подобная гиперемия практически не встречается при других формах артрита). При развитии трофических нарушений развивается шелушение кожи; полное обратное развитие атаки через 3 – 14 дней. В начале болезни приступ может купироваться самостоятельно; часто бывает поражение мягких тканей: бурситы, особенно ЛС; возможно повышение температуры.

Изображение слайда

Слайд 21

Формы подагрического артрита: классическая; ревматоидоподобная ; псевдофлегмонозная ; мигрирующий полиартрит; подострая форма поражения плюснефаланговых суставов; периартритическая ; артралгическая (астеническая).

Изображение слайда

Слайд 22

Приступы между атаками – от нескольких лет до 1 – 2 раза в год, укорачиваются по мере прогрессирования болезни. В межприступном периоде болей практически нет. В дальнейшем болезнь переходит в фазу хронического подагрического артрита с появлением постоянной боли, стойкой припухлости сустава и ограничением подвижности вследствие деструкции и вторичного остеоартроза. Суставной синдром становится более продолжительным, вовлекаются новые суставы.

Изображение слайда

Слайд 23

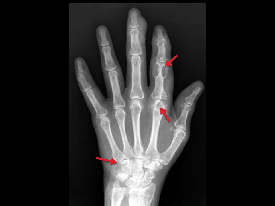
Поражение других органов: кожа, п /кожная клетчатка, глаза, сухожилия, слизистая желудка, почки. Отложение уратов в тканях развивается у 20% больных в виде узловатых образований ( тофусов ). Размер их – от булавочной головки до грецкого ореха.

Изображение слайда

Слайд 24

Чаще всего ураты откладываются: периартикулярно в области МФС на разгибательных поверхностях; по наружному краю ушной раковины; в районе ахиллова сухожилия.

Изображение слайда

Слайд 25

Здоровый сустав Начальные изменения Выраженные изменения Конечная стадия

Изображение слайда

Слайд 26

Подагрическая нефропатия проявляется в виде: МКБ – уратный нефролитиаз. Уратные камни R-негативны и откладываются в мозговом слое и в пирамидах. В 40% случаев МКБ предшествует развитию артрита; Наличие уратов или оксалатов в моче (оксалаты могут покрывать уратное ядро); Уратная нефропатия. Отложения уратов в интерстиции, что протекает бессимптомно или с протеинурией, микрогематурией, АГ или ХПН;

Изображение слайда

Слайд 27

Здоровый сустав Начальные изменения Выраженные изменения Конечная стадия

Изображение слайда

Слайд 28

Здоровый сустав Начальные изменения Выраженные изменения Конечная стадия

Изображение слайда

Слайд 29: Диагностика

Правила забора крови на МК: в 11 часов утра, исследовать в течение 6 часов. Суточная уратурия 1,8 – 3,6 ммоль /л (300 - 600 мл/мин); Определение уратов в синовиальной жидкости; Биопсия тофусов (без фиксации в формалине); ОАК, СРБ, РФ; Глюкоза крови; Липидный профиль; УЗИ почек; Функциональные пробы почек. Диагностика

Изображение слайда

Последний слайд презентации: ПОДАГРА

Здоровый сустав Начальные изменения Выраженные изменения Конечная стадия

Изображение слайда

Похожие презентации

Ничего не найдено