Тема: пилоростеноз — презентация
logo
Тема: пилоростеноз
  • Тема: пилоростеноз
  • Пилоростеноз
  • Тема: пилоростеноз
  • ЭТИОЛОГИЯ
  • Развитие пилоростеноза у детей
  • Симптомы пилоростеноза
  • Симптомы
  • СТАДИИ КЛИНИЧЕСКОГО ТЕЧЕНИЯ
  • ДИАГНОСТИКА
  • Тема: пилоростеноз
  • Лечение пилоростеноза
  • Пилороспазм
  • Список литературы
1/13

Первый слайд презентации: Тема: пилоростеноз

Выполнила: Нуртазина А. Группа: 053-1 Курс : 5 Факультет : ОМ Тема: пилоростеноз Кафедра : детских болезней № 2

Изображение слайда

Слайд 2: Пилоростеноз

В основе заболевания лежит врожденное нарушение морфологических структур пилорического жома желудка в результате разрастания циркулярного мышечного слоя и межуточной ткани, приводящие к стенозу привратника и нарушению проходимости в данном отделе желудочно-кишечного тракта).

Изображение слайда

Слайд 3

Врожденный пилоростеноз принадлежит к числу тяжелых пороков развития и имеет рецессивное, аутосомно-доминантное наследование. Первые признаки врожденного пилоростеноза появляются на 2-4 неделе жизни ребенка. Один из самых распространенных пороков развития. Встречается в 4 раза чаще у мальчиков, чем у девочек.

Изображение слайда

Слайд 4: ЭТИОЛОГИЯ

Изображение слайда

Слайд 5: Развитие пилоростеноза у детей

Причины пилоростеноза у детей точно неизвестны.

Изображение слайда

Слайд 6: Симптомы пилоростеноза

рвота фонтаном, без примеси желчи, количество при рвоте больше, чем было съедено, приступ рвоты сначала возникает через 15 минут после еды, постепенно интервал между едой и рвотой увеличивается, рвотные массы кислого запаха, прогрессивно нарастает потеря веса, выделяется мало концентрированной мочи, симптом “ сухих пеленок ”, стул отсутсвует запоры кожа бледная,сухая, морщинистая в крови и появлению умеренного алкалоза.

Изображение слайда

Слайд 7: Симптомы

Перистальтика желудка в виде «песочных часов» Иногда пальпируется плотное образование (привратник) в правом верхнем квадранте живота.

Изображение слайда

Слайд 8: СТАДИИ КЛИНИЧЕСКОГО ТЕЧЕНИЯ

Изображение слайда

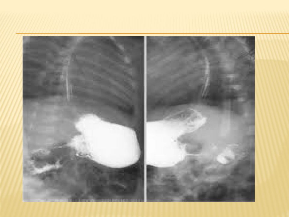
Слайд 9: ДИАГНОСТИКА

Из анамнеза и жалоб,данные осмотра При исследовании крови снижение микроэлементов (калия, натрия, хлора) УЗИ исследование (утолщение привратника и увеличение его длины) ФГДС (расширенный, перерастянутый желудок с выраженной складчатостью слизистой оболочки в антральном отделе. В области пилорической заслонки отмечался разной степени выраженности стеноз пилорического канала, который не раскрывался при раздувании воздухом.) Рентгеноскопия желудка (задержка контраста на 3-4 часа, удлинение и сужение пилорического канала)

Изображение слайда

Слайд 10

Изображение слайда

Хирургическое лечение – заключается в рассечении гипертрофированных мышц привратника— пилоромиотомия и его пластика, с формированием отверстия нормальных размеров. Симптоматическое лечение — дооперационная коррекция нарушений электролитного состава крови (борьба с обезвоживанием, возобновление недостатка микроэлементов) с помощью инфузионных растворов.

Изображение слайда

Слайд 12: Пилороспазм

Рвота от рождения Рвота частая Частота рвоты резко колеблется по дням Рвота небольшим количеством Количество молока, удаленного при рвоте, меньше высосаного Запоры, но иногда стул самостоятельный Число мочеиспусканий уменьшено (около 10) Кожа не очень бледная Перестальника желудка наблюдается редко Ребенок криклив Вес не изменяется или падает умеренно Вес при поступлении больше, чем при рождении

Изображение слайда

Последний слайд презентации: Тема: пилоростеноз: Список литературы

Баиров Г.А. Срочная хирургия у детей // Руководство для врачей. - СПб, 1997. - 462 с. Исаков Ю.Ф. Хирургические болезни у детей. - М.: Медицина, 1988. - 701с. Москаленко В.З., Грона В.Н., Сонов Г.А. Популяционная частота и структура гипертрофического пилоростеноза у детей Донецкой области Украины // Материалы конф. <Настоящее и будущее детской хирургии>. - М., 2001. Разиньков А.Г., Косяков., Ришт О.В. Результаты клинико-лучевой диагностики и оперативного лечения врожденного пилоростеноза у детей // Материалы конф. <Настоящее и будущее детской хирургии>. - М., 2001. Хирургия в вопросах и ответах Владимир Юсков   Раздел 8. Детская хирургия 2. Пороки развития и заболевания органов брюшной полости

Изображение слайда

Похожие презентации