Кожа и ее производные — презентация
logo
Кожа и ее производные
  • Кожа и ее производные
  • Кожа пальца (толстая кожа)
  • Кожа и ее производные
  • Эпидермис
  • Дерма
  • Гиподерма
  • Кожа пальца
  • Кожа волосистой части головы (тонкая кожа)
  • Кожа и ее производные
  • Производные эпидермиса
  • Кожа волосистой части головы
  • Кожа и ее производные
  • Мышца, поднимающая волос
  • Волосяные луковицы
  • Сальные железы
  • Кожа и ее производные
  • Сальная железа
  • Потовые железы
  • Инкапсулированное нервное окончание
  • Строение ногтя
1/20

Первый слайд презентации: Кожа и ее производные

Изображение слайда

Изображение слайда

Слайд 3

Изображение слайда

Слайд 4: Эпидермис

Изображение слайда

Слайд 5: Дерма

Сосочковый слой Сетчатый слой

Изображение слайда

Слайд 6: Гиподерма

Потовая железа Жировая ткань

Изображение слайда

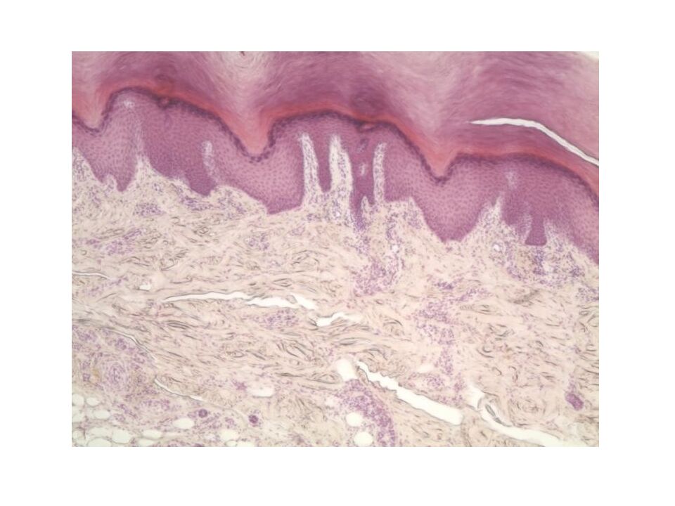
Слайд 7: Кожа пальца

А. Эпидермис 1. базальный слой 2. шиповатый слой 3. зернистый слой 4. блестящий слой 5. роговой слой Б. Дерма 6. сосочковый слой 7. сетчатый слой 8. кровеносный сосуд В. Гиподерма Г. Потовая железа: а. концевой отдел б. выводной проток А 1 2 3 4 5 8 7 Б В 6 а б Г

Изображение слайда

Слайд 9

Изображение слайда

Изображение слайда

Слайд 11: Кожа волосистой части головы

I. Эпидермис 1. базальный слой 2. шиповатый слой 3. зернистый слой 4. роговой слой II. Дерма 5. сосочковый слой 6. сетчатый слой III. Гиподерма В. Волос 7. стержень волоса 8. корень волоса 9. корковое вещество 10. мозговое вещество 11. кутикула 12. волосяная луковица 13. сосочек волоса 14. внутреннее эпителиальное влагалище 15. наружное эпителиальное влагалище 16. дермальное влагалище 17. мышца, поднимающая волос Ж. Сальная железа: а. секреторный отдел б. выводной проток I II III 1 2 3 4 5 6 7 8 9 11 16 13 10 15 17 а б Ж 14 12

Изображение слайда

Слайд 12

Изображение слайда

Слайд 13: Мышца, поднимающая волос

Изображение слайда

Слайд 14: Волосяные луковицы

Изображение слайда

Слайд 15: Сальные железы

Изображение слайда

Слайд 16

Изображение слайда

Слайд 17: Сальная железа

базальная мембрана малодифференцированные клетки секреторный отдел капли секрета выводной проток соединительная ткань дермы 4 6

Изображение слайда

Слайд 18: Потовые железы

концевой отдел 1.1. базальная мембрана 1.2. секреторные эпителиоциты 1.3. миоэпителиальные клетки выводной проток рыхлая волокнистая соединительная ткань 3 3 2 1.3

Изображение слайда

Слайд 19: Инкапсулированное нервное окончание

Изображение слайда

Последний слайд презентации: Кожа и ее производные: Строение ногтя

1. ногтевая пластинка 2. надногтевая пластинка ( эпонихий ) 3. подногтевая пластинка ( гипонихий ) 4. проксимальный ногтевой валик (паронихий) 5. ногтевой корень 6. ногтевое ложе 7. ногтевой матрикс 8. дерма 9. надкостница 10. костная ткань 5 4 2 3 1 10 7 8 9 1 6

Изображение слайда

Похожие презентации