ТРИПАНОСОМОЗЫ, ЛЕЙШМАНИОЗ — презентация
logo
ТРИПАНОСОМОЗЫ, ЛЕЙШМАНИОЗ
  • ТРИПАНОСОМОЗЫ, ЛЕЙШМАНИОЗ.
  • ТРИПАНОСОМОЗЫ, ЛЕЙШМАНИОЗ.
  • Общая характеристика трипаносоматид
  • Биологические группы трипаносом
  • Триатомовый клоп
  • СУ-АУРУ
  • Переносчики
  • ТРИПАНОСОМОЗЫ, ЛЕЙШМАНИОЗ.
  • ТРИПАНОСОМОЗЫ, ЛЕЙШМАНИОЗ.
  • ТРИПАНОСОМОЗЫ, ЛЕЙШМАНИОЗ.
  • ТРИПАНОСОМОЗЫ, ЛЕЙШМАНИОЗ.
  • ТРИПАНОСОМОЗЫ, ЛЕЙШМАНИОЗ.
  • Лабораторная диагностика включает:
  • Ветеринарно-санитарная оценка
  • ТРИПАНОСОМОЗЫ, ЛЕЙШМАНИОЗ.
  • ТРИПАНОСОМОЗЫ, ЛЕЙШМАНИОЗ.
  • ТРИПАНОСОМОЗЫ, ЛЕЙШМАНИОЗ.
  • Лептомонады лейшманий из тела москита
  • Москит Phlebotomus
  • ТРИПАНОСОМОЗЫ, ЛЕЙШМАНИОЗ.
  • ТРИПАНОСОМОЗЫ, ЛЕЙШМАНИОЗ.
  • Кала-азар (висцеральный лейшманиоз ) Возбудитель – Leishmania donovani. Увеличение печени и селезенки у больных детей.
  • Пендинская язва (Кожный лейшманиоз). Возбудитель – Leishmania tropica.
  • Диффузная лепроподобная форма кожного лейшманиоза у больного из Эфиопии
1/24

Первый слайд презентации: ТРИПАНОСОМОЗЫ, ЛЕЙШМАНИОЗ

Изображение слайда

Слайд 2

Систематика жгутиконосцев Царство Protozoa Тип Kinetoplastida Класс Kinetoplastidea Отряд Trypanosomatida Семейство Trypanosomatidae Род Trypanosoma Tr. cruzi (американский трипаносомоз, болезнь Чагаса ) Tr. vivax («Сума») Tr. rhodesiense, Tr.gambiense (« Сонная болезнь ») Tr. evansi (Су-ауру, « Сурра », «Болезнь от воды») Tr. equiperdum («Портящая лошадь», « Подседал », «Случная болезнь», « Дурина ») Род Leishmania L. tropica (кожная форма лейшманиоза) L. donovani (висцеральная форма лейшманиоза)

Изображение слайда

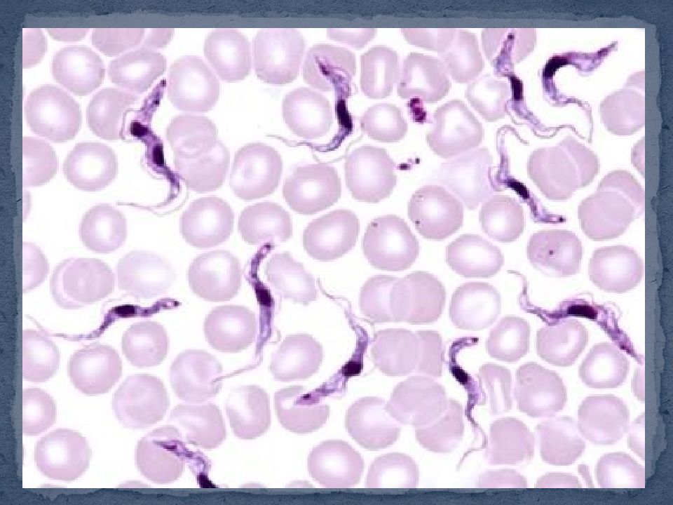
« Trypanon » - бурав, « soma » - тело Полиморфны, размеры варьируют от 2,3 – 1200 мкМ. Форма – продолговатая, веретенообразная, листовидная (зависит от стадии развития). Характерным признаком в строении является наличие кинетопласта (около кинетосомы – базального тела). Жгутик может быть свободный или частично прикрепленный к телу. У некоторых имеется ундулирующая мембрана. Общая характеристика трипаносоматид

Изображение слайда

Stercoraria – это группа возбудителей, которые заражают контаминативным путем, то есть развиваются в задних отделах пищеварительного тракта переносчика и выходят вместе с его экскрементами на кожные покровы. Salivaria – включает группу возбудителей, которые заражают путем инокуляции через слюнные железы и хоботок

Изображение слайда

Слайд 5: Триатомовый клоп

Изображение слайда

Слайд 6: СУ-АУРУ

Хронически, реже остро и подостро протекающая трансмиссивная, природно-очаговая болезнь лошадей, ослов, верблюдов (восприимчивы собаки, волки, крс, кошки, грызуны), вызываемая Trypanosoma evansi ( ninaekohljakimovi ), характеризующаяся лихорадкой, отеками кожи, увеличением лимфатических узлов, нервными явлениями, мышечной дрожью и усиленным потоотделением. Trypanosoma evasi локализуется в плазме крови, лимфатических узлах, внутренних органах, тканевых клетках и органах нервной системы. СУ-АУРУ

Изображение слайда

Слайд 7: Переносчики

Изображение слайда

Слайд 8

Изображение слайда

Слайд 9

Изображение слайда

Слайд 10

Изображение слайда

Слайд 11

Изображение слайда

Слайд 12

Прижизненная диагностика 1.Отеки губ, век, ушей, половых органов, подгрудка 2. Нервные явления 3.Мышечная дрожь, залеживание, повышенное потоотделение. Посмертная диагностика Труп истощен, анемичные слизистые оболочки, лимфатические узлы увеличены, кровоизлияния на внутренних органах, сердце дряблое, набухший кишечник.

Изображение слайда

Слайд 13: Лабораторная диагностика включает:

1.серологическую диагностику при помощи формалиновой реакции, реакции агглютинации и реакции связывания конглютинирующих комплексов. 2. биопробу на лабораторных животных. 3.микроскопию мазков крови или «раздавленная капля». 4. культивирование на питательной среде (№199). Лабораторная диагностика включает:

Изображение слайда

Слайд 14: Ветеринарно-санитарная оценка

Мясо неблагополучных по су-ауру животных может быть допущено в пищу человеку, если животные не истощены и имеют нормальную температуру перед убоем. Ветеринарно-санитарная оценка

Изображение слайда

Слайд 15

Изображение слайда

Слайд 16

Изображение слайда

Слайд 17

Изображение слайда

Слайд 18: Лептомонады лейшманий из тела москита

Изображение слайда

Слайд 19: Москит Phlebotomus

Изображение слайда

Слайд 20

Изображение слайда

Слайд 21

Изображение слайда

Слайд 23: Пендинская язва (Кожный лейшманиоз). Возбудитель – Leishmania tropica

Изображение слайда

Последний слайд презентации: ТРИПАНОСОМОЗЫ, ЛЕЙШМАНИОЗ: Диффузная лепроподобная форма кожного лейшманиоза у больного из Эфиопии

Изображение слайда

Похожие презентации